Newcastle’s neuroradiology department offers one of the most comprehensive neuroradiology services in the UK.
The department is located within the New Victoria Wing of the Royal Victoria Infirmary (RVI).
The team is made up of specially trained and experienced neuroradiographers, neuroradiologists including interventional neuroradiologists, and neuroradiology nurses.
State of the art facilities
The excellent medical facilities available to us ensure that patients receive high quality care at all times.
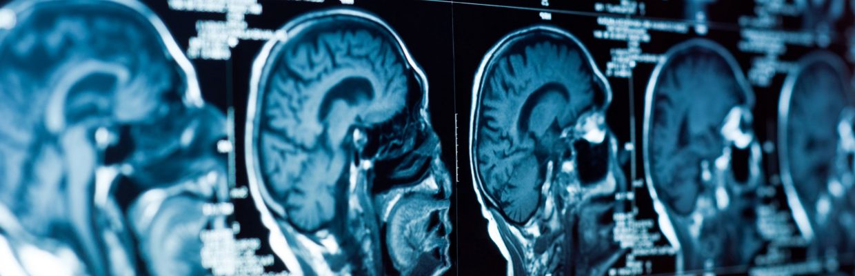
Our department has two MRI scanners – 3T and 1.5T – which enables our highly skilled staff to see more patients and undertake highly complex procedures.
We have a Siemens multi slice CT scanner and two angiographic and interventional suites, providing neurovascular and spinal interventional services.
Research active
We take part in many international research studies and is at the forefront of pioneering new techniques.
There are longstanding strong collaborations between neuroradiology within the Trust and Newcastle University enabling research in a variety of areas.
The strong research base in Newcastle means that patients attending the neuroradiology department often undergo state of the art imaging and receive “state of the art” interventional procedures.
Our specialist services
We provide specialist support to the following areas:
- Magnetic Resonance Imaging (MRI)
- Computed Tomography (CT)
- Neurovascular Service
- Spinal Intervention Service
- Transcranial Doppler Ultrasound Service
Neuroradiology second opinion service
An important facet of our neuroradiology service is the formalisation of our expert neuroradiological second opinion reporting service, available to radiologists and clinicians in the NHS.
With ever-increasing sub-specialisation, no individual radiologist can master all fields of diagnostic radiology and this service gives access to subspecialty radiologists.
To access this service please complete the referral form below and email the request to [email protected].
Please note that a cost of £100 will be charged for each report.
The request must detail all relevant clinical details/history and the initial/primary report.
We cannot produce the report if you are unable to provide the correct information.
Contact us
Our specialist team is on hand to talk you through your care and to answer any questions you may have.
For more information on our Neuroradiology Service, please contact us on:
Telephone: 0191 282 3410